Zdrowie

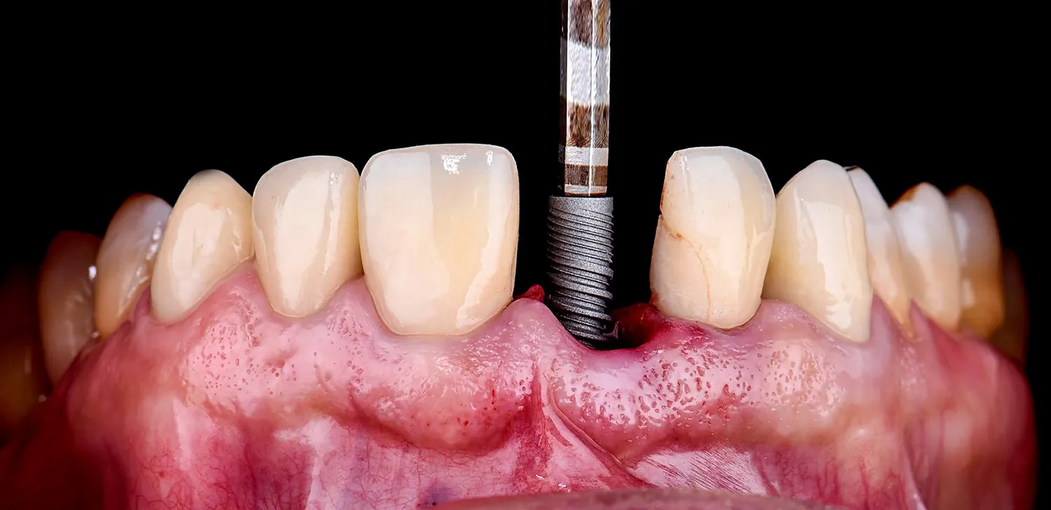
Kiedy po wyrwaniu zęba można wstawić implant?

Decyzja o tym, kiedy można wstawić implant po wyrwaniu zęba, jest kluczowa dla sukcesu całego procesu leczenia. Zazwyczaj zaleca się odczekanie pewnego czasu po ekstrakcji zęba, aby umożliwić odpowiednie gojenie się tkanek. Czas ten może wynosić od kilku tygodni do kilku miesięcy, w zależności od indywidualnych warunków pacjenta oraz stanu zdrowia jamy ustnej. Po usunięciu zęba organizm potrzebuje czasu na regenerację kości i tkanek miękkich, co jest niezbędne do prawidłowego osadzenia implantu. W przypadku, gdy ząb był mocno uszkodzony lub doszło do infekcji, czas oczekiwania może być dłuższy. Lekarz stomatolog oceni stan kości oraz tkanek miękkich podczas wizyty kontrolnej i zdecyduje, czy implantacja jest możliwa. Ważne jest również, aby pacjent przestrzegał zaleceń dotyczących higieny jamy ustnej oraz unikał palenia tytoniu, co może wpłynąć na proces gojenia i ostateczny efekt leczenia.

Jakie są etapy procesu wszczepienia implantu?

Proces wszczepienia implantu zębowego składa się z kilku kluczowych etapów, które są niezbędne do osiągnięcia trwałego i funkcjonalnego rezultatu. Pierwszym krokiem jest konsultacja ze stomatologiem, który oceni stan jamy ustnej oraz przeprowadzi szczegółowe badania diagnostyczne, takie jak zdjęcia rentgenowskie czy tomografia komputerowa. Na podstawie tych informacji lekarz zaplanuje dalsze działania oraz wybierze odpowiedni typ implantu. Następnie następuje etap chirurgiczny, podczas którego implant jest wprowadzany do kości szczęki lub żuchwy. Po wszczepieniu implantu konieczne jest odczekanie kilku miesięcy na proces osteointegracji, czyli zrośnięcia się implantu z kością. W tym czasie pacjent powinien regularnie odwiedzać stomatologa w celu monitorowania postępu gojenia. Po zakończeniu tego etapu następuje kolejna procedura – umieszczenie korony protetycznej na implancie, co przywraca funkcjonalność oraz estetykę uśmiechu.

Czy są jakieś przeciwwskazania do wszczepienia implantu?

Kiedy po wyrwaniu zęba można wstawić implant?
Kiedy po wyrwaniu zęba można wstawić implant?

Wszczepienie implantu zębowego wiąże się z pewnymi przeciwwskazaniami, które mogą wpłynąć na decyzję o przeprowadzeniu zabiegu. Przede wszystkim istotne są ogólne problemy zdrowotne pacjenta, takie jak choroby serca, cukrzyca czy zaburzenia krzepnięcia krwi. Osoby cierpiące na te schorzenia powinny skonsultować się ze swoim lekarzem przed podjęciem decyzji o wszczepieniu implantu. Kolejnym czynnikiem jest stan kości – niewystarczająca ilość tkanki kostnej może uniemożliwić prawidłowe osadzenie implantu. W takich przypadkach lekarz może zaproponować zabieg augmentacji kości przed wszczepieniem implantu. Również palenie tytoniu stanowi istotne ryzyko dla sukcesu leczenia, ponieważ wpływa negatywnie na proces gojenia oraz zwiększa ryzyko powikłań.

Jak dbać o implanty po ich wszczepieniu?

Prawidłowa pielęgnacja implantów zębowych po ich wszczepieniu jest kluczowa dla utrzymania ich trwałości oraz zdrowia jamy ustnej. Po pierwsze, należy stosować się do zaleceń lekarza dotyczących higieny jamy ustnej, co obejmuje regularne szczotkowanie zębów oraz używanie nici dentystycznej w okolicach implantu. Ważne jest również unikanie twardych pokarmów przez pierwsze tygodnie po zabiegu, aby nie obciążać nowo wszczepionych implantów. Regularne wizyty kontrolne u stomatologa pozwalają na monitorowanie stanu zdrowia implantów oraz wykrywanie ewentualnych problemów na wczesnym etapie. Pacjenci powinni również zwrócić uwagę na objawy takie jak ból czy obrzęk wokół implantu, które mogą wskazywać na infekcję lub inne komplikacje wymagające natychmiastowej interwencji medycznej. Dbanie o zdrową dietę oraz unikanie używek takich jak alkohol czy papierosy także przyczynia się do lepszego gojenia oraz dłuższej trwałości implantów.

Jakie są koszty związane z wszczepieniem implantu?

Koszty związane z wszczepieniem implantu zębowego mogą się znacznie różnić w zależności od wielu czynników, takich jak lokalizacja gabinetu stomatologicznego, doświadczenie lekarza oraz rodzaj używanego implantu. W Polsce ceny implantów wahają się od około kilku tysięcy złotych za jeden implant do nawet kilkunastu tysięcy złotych w przypadku bardziej skomplikowanych procedur. Warto zaznaczyć, że koszt samego implantu to tylko część całkowitych wydatków. Do tego należy doliczyć koszty konsultacji, badań diagnostycznych, ewentualnych zabiegów przygotowawczych, takich jak augmentacja kości oraz koszt korony protetycznej, która jest umieszczana na implancie. W przypadku pacjentów wymagających dodatkowych zabiegów, całkowity koszt leczenia może znacznie wzrosnąć. Warto również zwrócić uwagę na to, że niektóre ubezpieczenia zdrowotne mogą pokrywać część kosztów związanych z leczeniem implantologicznym.

Jakie są zalety stosowania implantów zębowych?

Implanty zębowe oferują szereg korzyści, które sprawiają, że są one coraz bardziej popularnym rozwiązaniem w stomatologii. Przede wszystkim implanty przywracają funkcjonalność żucia i mowy, co znacząco poprawia jakość życia pacjentów. Dzięki nim można jeść ulubione potrawy bez obaw o dyskomfort czy ból. Kolejną istotną zaletą jest estetyka – implanty wyglądają jak naturalne zęby, co pozwala na przywrócenie harmonijnego uśmiechu i zwiększenie pewności siebie. Implanty są również trwalsze niż tradycyjne protezy czy mosty, a przy odpowiedniej pielęgnacji mogą służyć przez wiele lat. Dodatkowo, wszczepienie implantu pomaga w zachowaniu struktury kości szczęki, co jest szczególnie ważne po utracie zęba. Brak zęba może prowadzić do zaniku kości, co wpływa na kształt twarzy i może powodować problemy z innymi zębami. Implanty zapobiegają tym negatywnym skutkom, co czyni je korzystnym rozwiązaniem zarówno pod względem zdrowotnym, jak i estetycznym.

Czy istnieją alternatywy dla implantów zębowych?

Choć implanty zębowe są jednym z najskuteczniejszych rozwiązań w przypadku utraty zębów, istnieją również inne opcje leczenia, które mogą być rozważane przez pacjentów. Jedną z najpopularniejszych alternatyw są mosty protetyczne, które polegają na osadzeniu sztucznego zęba na zdrowych zębach sąsiadujących. Mosty są szybszym rozwiązaniem niż implanty i mogą być mniej kosztowne, jednak wymagają szlifowania zdrowych zębów, co może osłabić ich strukturę. Inną opcją są protezy ruchome, które można łatwo zdjąć i założyć. Protezy są tańsze niż implanty i nie wymagają chirurgicznego zabiegu, jednak mogą być mniej komfortowe i stabilne podczas jedzenia czy mówienia. Warto także wspomnieć o metodzie ortodontycznej, która może być zastosowana w przypadku niewielkich braków w uzębieniu poprzez przesunięcie innych zębów na miejsce brakującego. Każda z tych opcji ma swoje zalety i wady oraz powinna być dokładnie omówiona z lekarzem stomatologiem przed podjęciem decyzji o najlepszym sposobie leczenia.

Jakie są najczęstsze pytania dotyczące implantów?

Wokół tematu implantów zębowych narosło wiele pytań i wątpliwości ze strony pacjentów. Jednym z najczęściej zadawanych pytań jest to, jak długo trwa proces wszczepienia implantu oraz kiedy można oczekiwać efektów końcowych. Zazwyczaj cały proces może trwać od kilku miesięcy do roku w zależności od indywidualnych warunków pacjenta oraz koniecznych zabiegów przygotowawczych. Inne pytanie dotyczy bólu towarzyszącego zabiegowi – większość pacjentów zgłasza jedynie niewielki dyskomfort po operacji, który można kontrolować za pomocą leków przeciwbólowych. Pacjenci często zastanawiają się również nad trwałością implantów; przy odpowiedniej pielęgnacji mogą one służyć przez wiele lat lub nawet całe życie. Kolejnym istotnym zagadnieniem jest kwestia higieny jamy ustnej po wszczepieniu implantu – regularne szczotkowanie i wizyty kontrolne u stomatologa są kluczowe dla utrzymania zdrowia jamy ustnej oraz długowieczności implantu. Warto również poruszyć temat ewentualnych powikłań – choć ryzyko jest niskie, pacjenci powinni być świadomi możliwości wystąpienia infekcji czy problemów związanych z osteointegracją implantu.

Jakie badania diagnostyczne są potrzebne przed wszczepieniem implantu?

Przed przystąpieniem do wszczepienia implantu zębowego niezbędne jest przeprowadzenie szeregu badań diagnostycznych mających na celu ocenę stanu zdrowia jamy ustnej pacjenta oraz określenie możliwości przeprowadzenia zabiegu. Podstawowym badaniem jest zdjęcie rentgenowskie, które pozwala ocenić stan kości oraz wykryć ewentualne problemy takie jak infekcje czy zmiany patologiczne w okolicy miejsca planowanego wszczepienia implantu. W niektórych przypadkach lekarz może zalecić wykonanie tomografii komputerowej, która dostarcza bardziej szczegółowych informacji na temat struktury kości oraz anatomicznych uwarunkowań jamy ustnej pacjenta. Dodatkowo ważne jest zebranie wywiadu medycznego dotyczącego ogólnego stanu zdrowia pacjenta oraz przyjmowanych leków, co pozwoli ocenić ewentualne ryzyko związane z zabiegiem chirurgicznym. Lekarz może także przeprowadzić badania laboratoryjne krwi w celu oceny parametrów zdrowotnych pacjenta oraz wykluczenia chorób ogólnoustrojowych mogących wpłynąć na proces gojenia po wszczepieniu implantu.

Jak wygląda proces gojenia po wszczepieniu implantu?

Proces gojenia po wszczepieniu implantu jest kluczowym etapem całej procedury i wymaga odpowiedniej troski ze strony pacjenta oraz regularnych wizyt kontrolnych u stomatologa. Po zabiegu chirurgicznym następuje okres rekonwalescencji trwający zazwyczaj od kilku dni do kilku tygodni, podczas którego pacjent może odczuwać niewielki ból lub dyskomfort w okolicy wszczepienia implantu. Ważne jest przestrzeganie zaleceń lekarza dotyczących diety oraz higieny jamy ustnej; unikanie twardych pokarmów oraz stosowanie delikatnych technik szczotkowania pomoże uniknąć podrażnień okolicy implantu. Kluczowym etapem gojenia jest osteointegracja – proces biologiczny polegający na zrastaniu się implantu z kością szczęki lub żuchwy; trwa on zazwyczaj od trzech do sześciu miesięcy i ma decydujący wpływ na stabilność implantu. Regularne wizyty kontrolne pozwalają lekarzowi monitorować postęp gojenia oraz wykrywać ewentualne komplikacje na wczesnym etapie; ważne jest także informowanie stomatologa o wszelkich niepokojących objawach takich jak ból czy obrzęk wokół implantu.